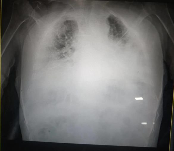
Медики Львова показали, який вигляд мають легені, уражені Covid-19.
Фото уражених коронавірусом легенів Ірина Заславець виклала у Facebook. Орган на знімку перетворився на суцільну світлу пляму.
"Це одні з найстрашніших легенів, які я бачила в житті", - сказала очільниця реанімації клінічної лікарні швидкої медичної допомоги Львова", — написала Заславець у дописі.
Вона також додала, що з Винників у критичному стані до закладу привезли 18 пацієнтів із Covid-19. 7 у реанімації.
ЧИТАЙТЕ ТАКОЖ: Назвали 4 ранні симптоми коронавірусу
Легені померлих внаслідок Covid-19 відрізняються від типового стану і більше нагадують печінку. Усередині легені змінюються через тромби. "Коронавірусну" пневмонію ні з чим не переплутаєш, розповіли паталогоанатоми Львівського обласного моргу.




















Коментарі