Университет Гонконга опубликовал первое изображение штамма коронавируса Omicron, сделанное с помощью электронного микроскопа.
Снимок 8 декабря обнародовали на сайте университета.
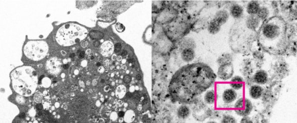
"На первом снимке (слева) показана клетка Vero E6 почки обезьяны после заражения новым Сovid-штаммом. Он демонстрирует повреждение клетки с набухшими везикулами, которые содержат маленькие черные вирусные частицы", - говорится в сообщении.

На втором снимке (справа) - увеличенная инфицированная клетка Vero E6. На нем видно скопление вирусных частиц с шипами в форме короны.
Штамм коронавируса обнаружили в ЮАР. Всемирная организация здравоохранения назвала его греческой буквой Omicron.
ЧИТАЙТЕ ТАКЖЕ: В ВОЗ охарактеризовали смертоносность Covid-штамма Omicron
Новый штамм коронавируса Omicron получил по крайней мере одну из своих мутаций, взяв фрагмент генетического материала от вируса простуды. Благодаря этому Omicron может избежать ответа со стороны иммунной системы. Это может означать, что вирус передается легче, но вызывает легкое или бессимптомное заболевание.
Комментарии