
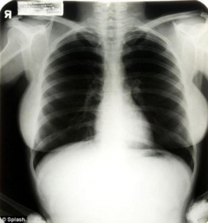
В конце июня в казино "Планета Голливуд" пройдет аукцион, на котором будут выставлены личные вещи кинодивы Мэрилин Монро. В числе лотов — мебель актрисы, духи, но особую ценность, по мнению организаторов мероприятия, представляют рентгеновские снимки грудной клетки звезды.
Снимок был сделан в ноябре 1954 года в Ливанской больнице Кедры (Флорида, США). Актриса делала этот снимок для подготовки операции по поводу эндометриоза, который причинял ей постоянный дискомфорт. Также есть видеоматериал, на котором запечатлен выход Монро из больницы через два дня после рентгена. Следует отметить, что в тот момент дива выглядела не столь эффектно, как обычно.
На рентгеновском снимке стоит имя Мэрилин Ди Маджио. Тогда актриса еще была замужем за знаменитым баскетболистом. Как уточняют организаторы аукциона, снимок был сделан несколько месяцев спустя после окончания съемок фильма "Зуд седьмого года".
Молодой врач, который тогда работал в рентгеновском кабинете больницы, взял снимок для преподавания в медицинской школе и демонстрации студентам. Позже снимок перешел его дочери, которая выставила его на продажу. Организаторы аукциона оценивают снимок в 800-1200 долларов.
По мнению представителя Julien"s Auctions, "к снимку должно быть проявлено особое внимание, поскольку это необычный взгляд на легенду".
Также на торги выставляются стул, обитый зеленым бархатом, на котором Мэрилин позировала во время своей последней фотосессии для журнала Life незадолго до смерти в 1962 году, деревянные лыжи с инициалами "ММ" и бутылек любимых духов актрисы Chanel No 5.
Комментарии