Художники заради свободи самовираження жертвують власним добробутом.
Такого висновку дійшли німецькі вчені. Дослідження, присвячене темі взаємин матеріального і художнього, опублікували в журналі Creativity Research Journal.
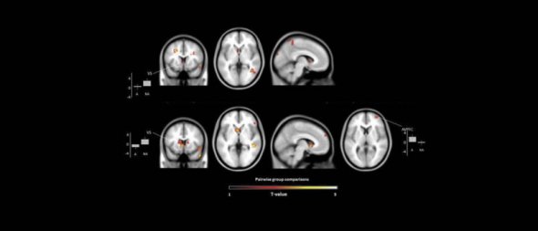
Команда вчених спостерігала за виробленням гормону радості дофаміну в мозку 24 учасників. 12 з них були пов'язані зі сферою мистецтва - актори, скульптори, музиканти, фотографи, художники. До іншої групи увійшли страхові агенти, стоматологи, адміністратори, інженери - представники "нетворчих професій".
ЧИТАЙТЕ ТАКОЖ: Мозок Енштейна і лондонські таксисти стали найціннішими музейними експонатами
Кожному учаснику видали окуляри зі зміною зображення - квадрати різних кольорів. За появи зеленого добровольці повинні були натискати на кнопку і отримувати €30 винагороди.
Процеси в мозку сканували за допомогою апарату МРТ.
Мозок творчих людей демонстрував підвищену активність, коли було потрібно знайти потрібний колір без перспективи отримати за це гроші.
"Дійсно, існує зв'язок між ставленням художників до грошей і активністю деяких областей їхнього мозку, - каже німецька нейробіолог Роберто Гойя-Малдонадо з Медичного центру в Геттінгені. - В цілому, результати вказують на наявність у мозку художників окремих нейронних ознак, що пригнічують їхню реакцію на важливість грошової винагороди".
Професор анатомії і антропології Еліс Робертс з Великої Британії створила модель анатомічно ідеальної жінки. Розробила її для зйомок документального фільму BBC "Чи може наука зробити мене ідеальним?". Щоби створити жінку з відмінними фізичними та розумовими параметрами, професор використала анатомічні влативості риб, молюсків, ссавців і птахів.





















Коментарі