




Многомиллионные гонорары и выходы на красную дорожку не всегда мотивируют голливудских знаменитостей заботиться о собственной улыбке. Кое-кто из мировых звезд отказывается бороться с несовершенствами зубов.
По словам врача-стоматолога Назария Михайлюка, улыбка решает все, тем более, что под эстетическими стоматологическими проблемами часто скрываются функциональные нарушения. Впрочем, зарубежные звезды и политики, несмотря на это, делают собственные недостатки частью имиджа.
В беседе с Gazeta.ua врач оценил улыбки знаменитостей и раздал профессиональные советы.
ЧИТАЙТЕ ТАКЖЕ: Ни грамма Фотошопа: как на самом деле выглядят звезды


Комедийный актер Уилл Феррелл
Здесь видно скученность зубов, такая проблема решается брекетами. На фото мы не видим передних верхних зубов, а это значит, что они у него стерты, это случается с возрастом. Я бы акцентировал внимание на том, чтобы удлинить передние верхние зубы для создания эстетической гармонии улыбки для этого актера.


Актриса и певица Ванесса Паради
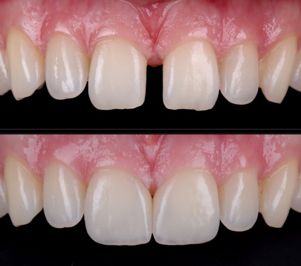
У этой знаменитости диастема (широкое расстояние между двумя передними центральными резцами). У певицы Мадонны подобная. Одной своей пациентке с такой же проблемой я установил два керамические виниры, которые закрыли диастему. Для кого-то щель между верхними зубами - это фишка и они не хотят это менять. Поэтому выбор или обращаться к стоматологу остается за владельцем улыбки. На сегодня мы имеем ряд возможностей убрать дефект.

Актер Том Круз
Если провести вертикаль через лицо Тома Круза, она должна проходить через два центральных резца, у него она смещена в сторону. Если горизонталь проходит на уровне его глаз, то она должна совпадать с линией зубов верхней челюсти. У актера она деформирована. Ему бы я рекомендовал провести ортодонтическое лечение, чтобы поставить зубы в правильное положение, чтобы вертикаль проходила между двумя центральными резцами.

Политик Хиллари Клинтон
Четко видно, что два передних зуба не свои. Они разного цвета, к тому же имеют темные полоски у десен. Это значит, что десна сместились вверх. Надо пролечить зуб и сделать две керамические коронки естественного цвета.


Актриса Линдси Лохан
Чтобы красиво выглядела улыбка, два центральных резца должны выделяться, зубы должны быть на одной линии. У Линдси они маленькие, стертые и темные. У нее может быть функциональная проблема из-за возраста или неправильного прикуса. Рекомендую удлинить все передние зубы и сделать акцент на центральных резцах. Также улучшить цвет зубов.


Актриса Кирстен Данст
У Данст очень высокое положение губы, глаза "цепляется" не только за зубы и десна. У нее два выхода: подкорректировать положение верхней губы, чтобы она не поднималась так высоко во время улыбки. Расстояние между верхней и нижней губой заполнить светлыми зубами.

Актриса Кира Найтли
У нее разворот латерального резца. Это может быть вызвано прорезыванием зубов мудрости, поскольку их рост может существенно смещать зубные ряды. Если причина именно эта, ей надо удалить зубы мудрости и установить брекет-системы.
Часто проблема с зубами начинается еще в детстве. Только во взрослом возрасте приобретает критические масштабы и требует длительного лечения.
"Когда у ребенка прорезываются зубы, важно посещать врача-ортодонта, поскольку часто родители не обращают внимания на эти вещи. Если прикус неправильный, то зубы начинают стираться и тогда надо корректировать это в старшем возрасте", - говорит стоматолог Назарий Михайлюк.
По словам специалиста, красивой улыбкой среди американских звезд отличается Джулия Робертс, а среди украинских - Ани Лорак.
"У Ани красивая улыбка, пропорциональная, длинные центральные резцы, клыки, я думаю, у нее свои зубы, если я ошибаюсь, то это большой комплимент тому, кто их делал", - говорит стоматолог.
К врачу нередко приходят пациентки со своим видением "идеальной улыбки", приносят фото знаменитостей, на которых хотят быть похожими. Среди тех, кто стремится к "голливудской улыбке" около 90% женщины.
"Пациенты часто приходят с фото. Была одна женщина, которая сделала презентацию о том, как хочет, чтобы выглядела ее улыбка. Она себя сравнила с актрисой Энн Хэтэуэй и в мельчайших подробностях объяснила, что именно хочет улучшить в своей улыбке", - рассказывает Назарий Михайлюк и добавляет, что ищет компромисс между желанием пациента и объективным и наиболее приемлемым решением.

"Мы можем создавать свои собственные идеалы, а Леонардо да Винчи давно описал, какой должна быть улыбка и пропорции лица. Людей надо учить тому, что есть красивым, что являются нормами эстетики. Например, Да Винчи писал, что верхняя губа должна быть меньше нижней. При хорошей, максимальной улыбке видно верхний зубной ряд. Форма зубов, именно она определяет эстетику улыбки и подбирается индивидуально для каждого", - говорит специалист.
Стоматолог отмечает, что некоторые украинские артисты злоупотребляют отбеливанием и модификациями собственных зубов.
"Некоторые звезды в Украине, которые сделали себе неестественные зубы,выглядят некрасиво. Чтобы у вас была улыбка "на миллион долларов", ап-грейд должен выглядеть очень натурально. Должен быть хороший баланс между улучшением и натуральной красотой. Именно тогда вы будете слышать комплименты о действительно красивой улыбке, а не вопрос о том, настоящие ли у вас зубы", - уверяет Назарий Михайлюк.
Комментарии