
До лікарні Мечникова у Дніпрі доправили 3 важкопоранених бійців.
2 із бійців отримали важкі черепно-мозкові поранення, пише головний лікар обласної клінічної лікарні імені Мечникова Сергій Риженко у Facebook.
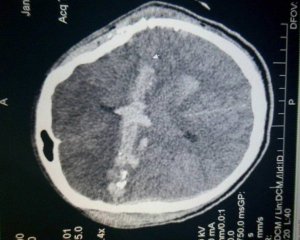
"Іван, 26 років, із Закарпатської області Виноградівського району отримав поранення біля селища Новотроїцьке. Куля увійшла в праву лобову область і вийшла в скроневу зліва. Кома. Штучна вентиляція легень. Військові доправили прямо до реанімаційної зали лікарні Мечникова. Важка нейрохірургічна операція з видаленням мозкового детриту, кісткових уламків. На ранок у Івана з'явилися рухи в кінцівках. З'явилася надія на його порятунок", - пише Риженко.
ЧИТАЙТЕ ТАКОЖ: "Великий осколок у потилиці, ампутована нога" - неймовірна історія бійця АТО
У Дніпрі посіченого осколками військового перевели з реанімації лікарні Мечникова до госпіталю. Там волонтери годують пораненого бійця бутербродами.
Коментарі