
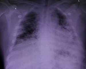
Успішне пересадження легенів двом пацієнтам, які перехворіли на коронавірус, відбулось у Сполучених Штатах.
Інфекція повністю знищила їхні дихальні шляхи, тож пересадження стало єдиним шансом на виживання, пише ТСН.
Це 28-річна юристка Майра та 62-річний автомеханік Браян. Обоє щасливчиків почуваються добре, а органи прижилися.
ЧИТАЙТЕ ТАКОЖ: Українцям із Covid-19 виплатили понад 10 млн грн лікарняних
Лікарі зазначили, що без цієї операції обоє пацієнтів вижити не змогли б. Наразі за ними уважно спостерігають медики, прогнози на одужання в обох добрі.
В Україні наразі тривають чотири клінічні дослідження препаратів для лікування Covid-19. Усі підтримує Міністерство охорони здоров'я.
×
Коментарі