 
    — Прорізався зуб мудрості, врізався в щоку й болів дико, — каже тернополянка Дана Лоївська, 26 років. — Я одразу вночі подзвонила до своєї лікарки, вона дала адресу хорошого хірурга, і він мені швиденько його видалив. Тиждень полоскала, потім біль пройшов. Так само видалила другий верхній зуб. А зараз мені розповіли, що ці зуби відповідають за печінку й серце.
Зуби мудрості потрібно видаляти, якщо їм бракує місця, каже столичний стоматолог Ярослава Оверченко, 32 роки. Якщо ж вони не турбують — краще залишити.
— На інші органи зуби впливають лише, коли є гнійні запалення та інфекція переходить на обличчя. Коли восьмий зуб росте, він може залишитися в кістці й не прорізатися. Може пробиватися понад 10 років. Ростуть вони після 15-16 років. Якщо виліз раніше, залишайте — щелепа росте й може зіпсуватися прикус.
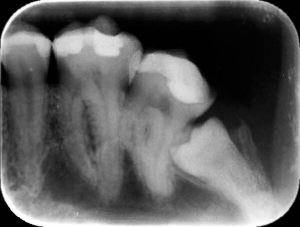
Коли зуб ріжеться і болить, треба зробити панорамний рентген. Він дає огляд щелепи. Видно, чи намічаються зустрічні зуби. Коли на протилежній щелепі зуба нема — можуть травмуватися ясна. Тому за такими має спостерігати стоматолог.
— Якщо рентген показує, що зуб стане правильно, ми йому допомагаємо вилізти, — каже лікар. — Надрізуємо слизову до півсантиметра, потім промиваємо. Це індивідуально, але краще, щоб зуб був, ніж не було. Навіть якщо він із карієсом, але його можна відновити, варто за нього поборотися.
Якщо рентген підтвердив, що зуб мудрості росте нормально, він може бути опорою для коронки. Особливо коли немає сусідніх зубів.
— Ми лікували 25-річну дівчину. Їй видалили шостий і сьомий зуби. У таких випадках ставлять знімний протез. Вона категорично відмовилася: не хочу ніяких протезів! За півроку в неї прорізалася "вісімка". Це було рятівне коло. Я змогла вдягнути на нього металокерамічні коронки. Зробила їй голлівудську усмішку.
Видаляти треба, коли через "вісімку" зміщуються сусідні зуби або з'являється запалення. Тоді утворюється "кишеня". У ній збирається і гниє їжа, розмножуються мікроби та інфекції. Зуб хворіє, псує інші зуби.
— Буває, зуб лежить горизонтально. Він може вростати в щоку, в бік сусіднього зуба-"сімки" або в бік язика. Передбачити поведінку таких зубів дуже важко, а лікувати майже неможливо.
У деяких "вісімок" більш ніж три корені або непрохідні канали. Вони сильно закручені. Якщо почнеться запалення нервів, запломбувати їх дуже складно. Те саме — коли рот не відкривається, й до зуба неможливо дотягнутися. Все це можна побачити на знімку.
Більше проблем із нижніми зубами.
— Якось прийшла 70-річна бабуся, яка поставила собі новий знімний протез. Коли вона почала активно жувати, він тиснув на щелепу, і під ним прорізався зуб мудрості.
Зуб видалили, рана заживала два місяці. Потім переробили протез, адже змінилася форма щелепи.
 
                    
                    
                    
                    
                    
                    
                    
                    
                    
                   




 
             
             
             
             
                        








 2
                2             1
        1
Коментарі