
У Великобританії медики госпіталю Моррісон за допомогою 3D-принтера врятували пацієнта, у якого була ракова пухлина.
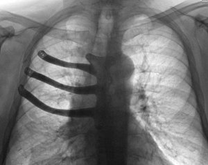
71-річному Пітеру Меггзу через рак довелося видалити половину грудної кістки і три ребра. Їх вдалося відновити завдяки 3D-принтеру. Про це повідомляє ABMU Health Board.
Раніше в подібних випадках хірурги відливали протез з медичного цементу під час операції, але технологія 3D-друку дозволила виготовити імплант з титанового сплаву і скоротити час операції на дві години. При виготовленні протеза використовувалася комп'ютерна томографія грудної клітини пацієнта. Це один із перших випадків друку подібних протезів.
ЧИТАЙТЕ ТАКОЖ: Знайшли вакцину від героїнової залежності
Медики розповіли, що операція тривала 8 годин і пройшла успішно, що дозволить використовувати цю технологію у майбутньому.
Злоякісні ракові пухлини можна знищити, якщо інфікувати їх вірусами. Заяву зробили американські науковці з Університету Каліфорнії. Вони провели експеримент на пацюках. Хворим на рак тваринам ввели вірус. Коли він потрапив у кровоносну судину пухлини, дрібні новоутворення загинули. Згодом уся пухлина загинула під впливом потужної імунної реакції.
Коментарі