Вчені зробили перші кроки до розвитку штучного яєчника.
Метод спрямований на те, аби допомогти жінкам, які перебувають у зоні ризику безплідності. Зокрема, тим, хто отримує хіміотерапію, передає ВВС.
Данські вчені змогли видалити частини яєчника та внести в них зміни, аби згодом потенційно можна було пересадити їх жінкам, які хочуть завагітніти. Експерти вважають, що це "неймовірне" дослідження, але воно ще потребує додаткових випробовувань.
Лікування раку, яке включає хіміотерапію та променеву терапію, часто може пошкодити яєчники і жінка стає безплідною.
Одним зі шляхів збереження шансів на зачаття - це трансплантація тканин яєчників. Яєчники повністю або частково видаляють та заморожують для пізнішого використання, аби вони не були пошкоджені.
ЧИТАЙТЕ ТАКОЖ: Створили "розумну" штучну шкіру

Це єдиний спосіб завагітніти тим жінкам, у яких не відбувається овуляція.
Проте існує невеликий ризик того, що в хворих на рак ракові клітини містяться і в яєчниках, що підвищує шанси на повернення хвороби після трансплантації.
Цей ризик, хоч і "дуже низький", але стосується жінок, які мають певні форми раку, наприклад, лейкемію.
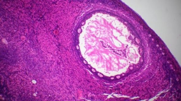
Щоб усунути цей ризик, вчені госпіталю Rigshospitalet у Копенгагені змогли в лабораторії виростити штучний яєчник. Його пересадили миші, де він прижився, клітини зростали. Експерти вважають, що цю технологію варто випробувати на людях і цей метод може мати переваги.
"Трансплантація тканин яєчників дозволить жінкам завагітніти "природно", на відміну від штучного запліднення, в ході якого яйцеклітину запліднюють в лабораторії, а потім переміщують до матки", - каже консультант-гінеколог лондонського госпіталю Hammersmith Стюарт Левері.
У свою чергу, доктор Джиліан Локвуд, медичний директор компанії Midlands Fertility Services, вважає, що ще одною перевагою трансплантації яєчників є відновленню жіночого організму без гормональної терапії.
Львів'янка Анастасія Сибірна створює штучні сперматозоїди і яйцеклітини, що можуть стати проривом у боротьбі з безпліддям та деякими типами раку.
Коментарі